WHERE DOES THE SHUNT ENTER THE SYSTEMIC CIRCULATION?
(ONLY CLICK IN RED BOXES)
WEISSE 2022
PRE-HEPATIC ENTRANCE
Does the MAIN Portal Vein (PV) DIRECTLY enter the Caudal Vena Cava (CdVC)?
WEISSE 2022
“PORTO-CAVAL (PC) SHUNT”
PRE-HEPATIC ENTRANCE
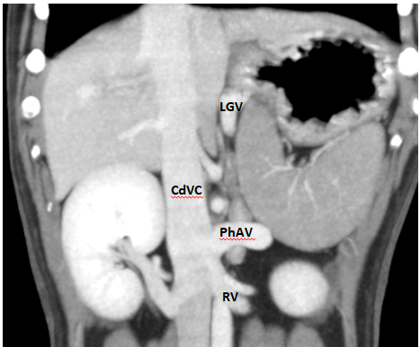
Does shunt enter systemic circulation near the celiac artery, cranial to the phrenicoabdominal veins?
PRE-HEPATIC ENTRANCE
Shunt DOES NOT enter systemic circulation near the celiac artery, cranial to phrenicoabdominal vein
(Click for example of each)
WEISSE 2022
PRE-HEPATIC ENTRANCE
Does LEFT GASTRIC VEIN (LGV) enter the GASTROSPLENIC VEIN (GSV)?
WEISSE 2022
slide10
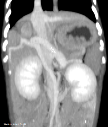
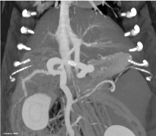
PRE-HEPATIC ENTRANCE
Does the RIGHT GASTRIC VEIN (RGV) contribute blood to the shunt?
WEISSE 2022
slide11
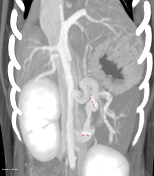
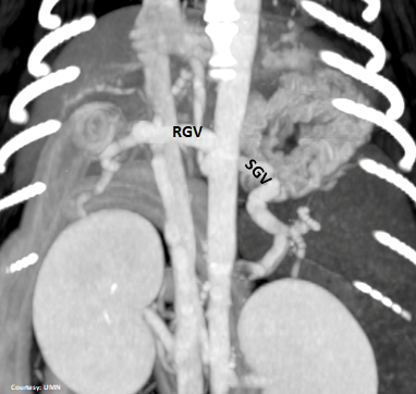
PRE-HEPATIC ENTRANCE
Does the SHORT GASTRIC VEIN (SGV) contribute blood to the shunt?
WEISSE 2022
slide12
PRE-HEPATIC ENTRANCE
“aLGC +SGV”
WEISSE 2022
slide13
PRE-HEPATIC ENTRANCE
“aLGC”
Aberrant Left Gastric-Caval Shunt (No examples in >1100 dogs)
WEISSE 2022
slide14
PRE-HEPATIC ENTRANCE
Does the SHORT GASTRIC VEIN (SGV) contribute blood to the shunt?
WEISSE 2022
slide15
PRE-HEPATIC ENTRANCE
“aLGC +RGV”
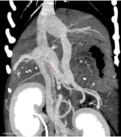
Aberrant Left Gastric-Caval Shunt with Right Gastric Vein contribution
Alternate (Pancreatic vein contribution as well): “aLGC +RGV +PancV”
WEISSE 2022
slide16
PRE-HEPATIC ENTRANCE
WEISSE 2022
slide17
PRE-HEPATIC ENTRANCE
Does the GASTROSPLENIC VEIN (GSV) enter the PORTAL VEIN (PV)?
WEISSE 2022
slide18
PRE-HEPATIC ENTRANCE
(Absent GSV)
Does the GASTROSPLENIC VEIN (GSV) enter the CAUDAL VENA CAVA (CdVC) directly?
WEISSE 2022
slide19
PRE-HEPATIC ENTRANCE
(Absent GSV)
“LGC +PancV -GSV” Left Gastro-Caval Shunt with Pancreatic Vein contribution and absent Gastro-splenic vein (GSV does not enter PV)
Courtesy: Nihon Univ
WEISSE 2022
slide20
PRE-HEPATIC ENTRANCE
(Absent GSV)
Does the RIGHT GASTRIC VEIN (RGV) contribute blood to the shunt?
WEISSE 2022
slide21
PRE-HEPATIC ENTRANCE
(Absent GSV)
WEISSE 2022
slide22
PRE-HEPATIC ENTRANCE
(Absent GSV with RGV contribution)
WEISSE 2022
slide23
PRE-HEPATIC ENTRANCE
(GSV present)
Does the GASTROSPLENIC VEIN (GSV) enter the CAUDAL VENA CAVA (CdVC) directly?
WEISSE 2022
slide24
PRE-HEPATIC ENTRANCE
(GSV present)
Does the RIGHT GASTRIC VEIN (RGV) contribute blood to the shunt?
WEISSE 2022
slide25
PRE-HEPATIC ENTRANCE
(GSV present)
WEISSE 2022
slide26
PRE-HEPATIC ENTRANCE
(GSV present)
Does the SHORT GASTRIC VEIN (SGV) contribute blood to the shunt?
WEISSE 2022
slide27
PRE-HEPATIC ENTRANCE
(GSV present)
“LGC +RGV”
WEISSE 2022
slide28
PRE-HEPATIC ENTRANCE
(GSV present)
“LGC +RGV +SGV”
Left Gastro-Caval Shunt with Right Gastric Vein and Short Gastric Vein contributions
Courtesy: Nihon Univ
Courtesy: Nihon Univ
WEISSE 2022
slide29
INTRAHEPATIC ENTRANCE
WEISSE 2022
slide30
POST-HEPATIC ENTRANCE
Does Shunt enter the Caudal Vena Cava (CdVC), the Azygos Vein, or Both?
WEISSE 2022
slide32
POST-HEPATIC ENTRANCE
(Caudal Vena Cava entrance)
Does the Shunt enter the Phrenic vein or the Left Hepatic Vein?
WEISSE 2022
slide33
POST-HEPATIC ENTRANCE
(Phrenic vein entrance)
Does the RIGHT GASTRIC VEIN (RGV) contribute blood to the shunt?
WEISSE 2022
slide34
POST-HEPATIC ENTRANCE
(Phrenic vein entrance)
Does the SHORT GASTRIC VEIN (SGV) contribute blood to the shunt?
WEISSE 2022
slide35
POST-HEPATIC ENTRANCE
(Phrenic vein entrance)
Does the LEFT GASTRIC VEIN (SGV) enter the GASTROSPLENIC VEIN (GSV)?
WEISSE 2022
slide36
POST-HEPATIC ENTRANCE
(Phrenic vein entrance)
Does the GASTROSPLENIC VEIN (GSV) enter the PORTAL VEIN (PV)?
WEISSE 2022
slide37
POST-HEPATIC ENTRANCE
(Phrenic Vein Entrance)
“LGP +PancV –GSV”
Left Gastro-Phrenic Shunt with Pancreatic Vein contribution and absent Gastrosplenic Vein
WEISSE 2022
slide38
POST-HEPATIC ENTRANCE
(Phrenic Vein Entrance)
“LGP”
Left Gastro-Phrenic Shunt
WEISSE 2022
slide39
POST-HEPATIC ENTRANCE
(Phrenic Vein Entrance)
“aLGP”
Aberrant Left Gastro-Phrenic Shunt
Courtesy: Nihon Univ
WEISSE 2022
slide40
POST-HEPATIC ENTRANCE
(Phrenic vein entrance)
Does the LEFT GASTRIC VEIN (SGV) enter the GASTROSPLENIC VEIN (GSV)?
WEISSE 2022
slide41
POST-HEPATIC ENTRANCE
(Phrenic Vein Entrance)
“aLGP +SGV”
Aberrant Left Gastro-Phrenic Shunt with Short Gastric Vein contribution
Courtesy: Nihon Univ
Courtesy: Nihon Univ
WEISSE 2022
slide42
POST-HEPATIC ENTRANCE
(Phrenic Vein Entrance)
“LGP +SGV”
Left Gastro-Phrenic Shunt with Short Gastric Vein contribution
Courtesy: Nihon Univ
WEISSE 2022
slide43
POST-HEPATIC ENTRANCE
(Phrenic vein entrance)
Does the LEFT GASTRIC VEIN (SGV) enter the GASTROSPLENIC VEIN (GSV)?
WEISSE 2022
slide44
POST-HEPATIC ENTRANCE
(Phrenic Vein Entrance)
“LGP RGP” (with Azygous Continuation of CdVC)
Left Gastro-Phrenic AND Right Gastro-Phrenic Shunts
Courtesy: Nihon Univ
Courtesy: Nihon Univ
WEISSE 2022
slide45
POST-HEPATIC ENTRANCE
(Phrenic vein entrance)
Does the SHORT GASTRIC VEIN (SGV) contribute blood to the shunt?
WEISSE 2022
slide46
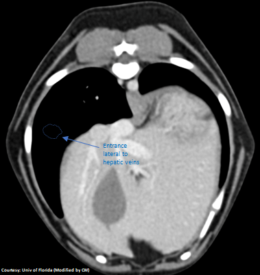
POST-HEPATIC ENTRANCE
(Caudal Vena Cava Entrance)
“aLGP +RGV”
Aberrant Left Gastro-Phrenic Shunt with Right Gastric Vein contribution
Courtesy: Nihon Univ
Note: “aLGP” rather than “aLGHV” because shunt joins lateral to Left HV
WEISSE 2022
slide47
POST-HEPATIC ENTRANCE
(Phrenic Vein Entrance)
“aLGP +RGV +SGV”
Aberrant Left Gastro-Phrenic Shunt with Right Gastric Vein and Short Gastric Vein contributions
WEISSE 2022
slide48
POST-HEPATIC ENTRANCE
(Left Hepatic Vein entrance)
Does the RIGHT GASTRIC VEIN (RGV) contribute blood to the shunt?
WEISSE 2022
slide49
POST-HEPATIC ENTRANCE
(Left Hepatic Vein entrance)
Does the GASTROSPLENIC VEIN (GSV) enter the PORTAL VEIN (PV)?
WEISSE 2022
slide50
POST-HEPATIC ENTRANCE
(Left Hepatic Vein Entrance)
“LGHV +PancV -GSV”
Left Gastric – Left Hepatic Vein Shunt with Pancreatic Vein contribution and absent Gastrosplenic Vein
WEISSE 2022
slide51
POST-HEPATIC ENTRANCE
(Left Hepatic Vein Entrance)
WEISSE 2022
slide52
POST-HEPATIC ENTRANCE
(Left Hepatic Vein entrance)
Does the SHORT GASTRIC VEIN (SGV) contribute blood to the shunt?
WEISSE 2022
slide53
POST-HEPATIC ENTRANCE
(Left Hepatic Vein entrance)
Does the LEFT GASTRIC VEIN (SGV) enter the GASTROSPLENIC VEIN (GSV)?
WEISSE 2022
slide54
POST-HEPATIC ENTRANCE
(Left Hepatic Vein entrance)
Does the LEFT GASTRIC VEIN (SGV) enter the GASTROSPLENIC VEIN (GSV)?
WEISSE 2022
slide55
POST-HEPATIC ENTRANCE
(Left Hepatic Vein Entrance)
“aLGHV +RGV”
WEISSE 2022
slide56
POST-HEPATIC ENTRANCE
(Left Hepatic Vein Entrance)
“LGHV +RGV”
Left Gastric – Left Hepatic Vein shunt with Right Gastric Vein Contribution
Courtesy: Nihon Univ
WEISSE 2022
slide57
POST-HEPATIC ENTRANCE
(Left Hepatic Vein Entrance)
“aLGHV +RGV +SGV”
Aberrant Left Gastric – Left Hepatic Vein Shunt with Right Gastric Vein and Short Gastric Vein contributions
Courtesy: Nihon Univ
WEISSE 2022
slide58
POST-HEPATIC ENTRANCE
(Left Hepatic Vein Entrance)
“LGHV +RGV +SGV”
Left Gastric – Left Hepatic Vein Shunt with Right Gastric Vein and Short Gastric Vein contributions
(This shunt has not been identified in >1100 dogs)
WEISSE 2022
slide59
POST-HEPATIC ENTRANCE
(Azygos Vein entrance)
Does the LEFT GASTRIC VEIN (SGV) enter the GASTROSPLENIC VEIN (GSV)?
WEISSE 2022
slide60
POST-HEPATIC ENTRANCE
(Azygos Vein entrance)
Does the RIGHT GASTRIC VEIN (RGV) contribute blood to the shunt?
WEISSE 2022
slide61
POST-HEPATIC ENTRANCE
(Azygos Vein entrance)
Does the RIGHT GASTRIC VEIN (RGV) contribute blood to the shunt?
WEISSE 2022
slide62
POST-HEPATIC ENTRANCE
(Azygos Vein entrance)
Does the SHORT GASTRIC VEIN (SGV) contribute blood to the shunt?
WEISSE 2022
slide63
POST-HEPATIC ENTRANCE
(Azygos Vein Entrance)
“aLGA +RGV”
Aberrant Left Gastric – Azygos Vein Shunt with Right Gastric Vein contribution
Courtesy: Nihon Univ
Courtesy: Nihon Univ
WEISSE 2022
slide64
POST-HEPATIC ENTRANCE
(Azygos Vein Entrance)
WEISSE 2022
slide65
POST-HEPATIC ENTRANCE
(Azygos Vein entrance)
Does the SHORT GASTRIC VEIN (SGV) contribute blood to the shunt?
WEISSE 2022
slide66
POST-HEPATIC ENTRANCE
(Azygos Vein Entrance)
“LGA”
Left Gastric – Azygos Vein Shunt
WEISSE 2022
slide67
POST-HEPATIC ENTRANCE
(Azygos Vein Entrance)
“LGA +SGV”
Left Gastric – Azygos Vein Shunt with Short Gastric Vein contribution
Courtesy: Nihon Univ
Courtesy: Nihon Univ
WEISSE 2022
slide68
POST-HEPATIC ENTRANCE
(Azygos Vein entrance)
Does the GASTROSPLENIC VEIN (GSV) enter the PORTAL VEIN (PV)?
WEISSE 2022
slide69
POST-HEPATIC ENTRANCE
(Azygos Vein Entrance)
“LGA +RGV”
Left Gastric – Azygos Vein Shunt with Right Gastric Vein contribution
Courtesy: Nihon Univ
WEISSE 2022
slide70
POST-HEPATIC ENTRANCE
(Azygos Vein entrance)
Does the GASTROEPIPLOIC VEIN (GEV) contribute blood to the shunt?
WEISSE 2022
slide71
POST-HEPATIC ENTRANCE
(Azygos Vein Entrance)
“LGA +RGV -GSV”
Left Gastric – Azygos Vein Shunt with Right Gastric Vein contribution and absent Gastrosplenic Vein (does not enter PV)
Courtesy: Nihon Univ
WEISSE 2022
slide72
POST-HEPATIC ENTRANCE
(Azygos Vein Entrance)
“LGA +RGV +GEV -GSV”
Left Gastric – Azygos Vein Shunt with Right Gastric Vein and (minor) Gastroepiploic Vein contributions with absent Gastrosplenic Vein (Does not enter PV)
WEISSE 2022
slide73
This shunt has not been identified in >1100 dogs
WEISSE 2022
slide74
POST-HEPATIC ENTRANCE
(Azygos Vein Entrance)
“aLGC +RGV +SGV”
“Aberrant Left Gastric-Caval Shunt with Right Gastric Vein and Short Gastric Vein contributions”
WEISSE 2022
slide75
POST-HEPATIC ENTRANCE
Alternate (Left portal vein contribution as well): “aLGC +RGV +SGV +LPV”
Aberrant Left Gastric-Caval Shunt with Right Gastric, Short Gastric, and Left Portal Vein contributions
WEISSE 2022
slide76
POST-HEPATIC ENTRANCE
Alternate (Pancreatic vein contribution as well): “aLGC +RGV +SGV +PancV”
Aberrant Left Gastric-Caval Shunt with Right Gastric, Short Gastric, and Pancreatic Vein contributions
WEISSE 2022
slide77
POST-HEPATIC ENTRANCE
Alternate (Absent Gastrosplenic Vein as well): “aLGC +RGV +SGV -GSV”
Aberrant Left Gastric-Caval Shunt with Right Gastric and Short GastricVein contributions with absent Gastrosplenic Vein
WEISSE 2022
slide78
POST-HEPATIC ENTRANCE
(Absent GSV)
“aGSC +PancV”
Aberrant Gastrosplenic-caval shunt with pancreatic vein contribution
WEISSE 2022
slide79
POST-HEPATIC ENTRANCE
(Absent GSV)
Alternate
(aberrant gastrosplenic-caval shunt with gastroepiploic vein (GEV) contribution):
“aGSC +GEV”
WEISSE 2022
slide80
POST-HEPATIC ENTRANCE
(GSV present)
“LGC”
Left Gastro-Caval Shunt
WEISSE 2022
slide81
POST-HEPATIC ENTRANCE
(GSV present)
“LGPhA LGP”
Left Gastro-Phrenicoabdominal shunt AND Left Gastro-Phrenic Shunt
WEISSE 2022
slide82
POST-HEPATIC ENTRANCE
“Left Colic – Caval (LCC) shunt”
WEISSE 2022
slide83
POST-HEPATIC ENTRANCE
“Spleno-Phrenicoabdominal (SPhA) Shunt”
WEISSE 2022
slide84
POST-HEPATIC ENTRANCE
“Pancreatico-Phrenicoabdominal (PancPhA) Shunt”
WEISSE 2022
slide85
POST-HEPATIC ENTRANCE
“Spleno-Renal (SR) Shunt” (Tiny LGA as well)
WEISSE 2022
slide86
POST-HEPATIC ENTRANCE
“Left Colic – Left Iliac (LCLI) shunt” (ONLY identified in conjunction with LGA LGP Confirmation in >1100 Dogs
WEISSE 2022
slide87
POST-HEPATIC ENTRANCE
“Left Gastric-Azygos, Left Gastric-Phrenic, And Left Colic-Left Iliac (LGA LGP LCLI) Shunt”
WEISSE 2022
slide88
POST-HEPATIC ENTRANCE
“Left Gastric-Azygos and Left Gastric-Phrenic (LGA LGP) Shunt”
WEISSE 2022
slide89
“GSC”
Gastrosplenic-Caval Shunt
(This shunt has not been identified in >1100 dogs)
WEISSE 2022
slide90
POST-HEPATIC ENTRANCE
WEISSE 2022
slide91
POST-HEPATIC ENTRANCE
“aGSC +RGV +PancV”
Aberrant Gastrosplenic-Caval Shunt with Right Gastric and Pancreatic Vein contributions
WEISSE 2022
slide92
POST-HEPATIC ENTRANCE
“aGSC +RGV +GEV +PancV”
Aberrant Gastrosplenic-Caval Shunt with Right Gastric, Gastropepiploic, and Pancreatic Vein contributions
WEISSE 2022
slide93
POST-HEPATIC ENTRANCE
WEISSE 2022
slide94
POST-HEPATIC ENTRANCE
WEISSE 2022
slide95
POST-HEPATIC ENTRANCE
(Left Hepatic Vein Entrance)
WEISSE 2022
slide96
POST-HEPATIC ENTRANCE
(Left Hepatic Vein Entrance)
“LGHV +RGV”
Left Gastric – Left Hepatic Vein shunt with Right Gastric Vein Contribution
WEISSE 2022
slide97
POST-HEPATIC ENTRANCE
(Azygos Vein Entrance)
“aLGA +RGV +SGV”
Aberrant Left Gastric – Azygos Vein Shunt with Right Gastric Vein and Short Gastric Vein contributions
WEISSE 2022
slide98
POST-HEPATIC ENTRANCE
(Azygos Vein Entrance)
“aLGA +RGV +GEV +SGV”
Aberrant Left Gastric – Azygos Vein Shunt with Right Gastric, Gastroepiploic, and Short Gastric Vein contributions (although RGV and GEV are minor)
WEISSE 2022
slide99
INTRAHEPATIC ENTRANCE
“aLGC +RGV”
(Aberrant Left Gastric – Caval shunt with Right Gastric Vein contribution)
WEISSE 2022
slide100
INTRAHEPATIC ENTRANCE
“aLGC +SGV”
(Aberrant Left Gastric – Caval shunt with Short Gastric Vein contribution)
WEISSE 2022